
pISSN : 3058-423X eISSN: 3058-4302
Open Access, Peer-reviewed
Hye-Jin Ahn,Ki-Heon Jeong,Min Kyung Shin
10.17966/JMI.2025.30.4.164 Epub 2026 January 01
Abstract
Keywords
Atopic dermatitis Dupilumab Viral infection Wart
Atopic dermatitis (AD) increases the risk of cutaneous infections, including viral infections such as warts caused by human papillomavirus1, due to intrinsic skin barrier dys- function, impaired innate antiviral responses, and extrinsic immunosuppressive treatments. Although cutaneous warts often resolve spontaneously in immunocompetent children, persistent lesions are more common in adults. Studies on the natural course of warts in adult patients with AD treated with dupilumab, an interleukin (IL)-4Rα antagonist targeting Th2-mediated inflammation, have been scarce.
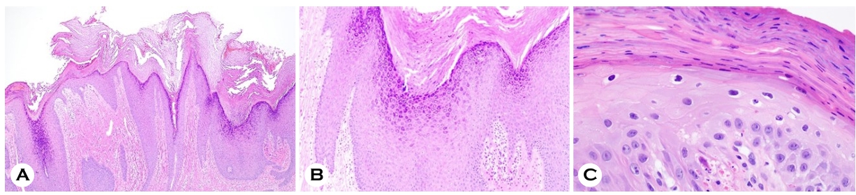
A 63-year-old man with a 6-year history of adult-onset severe AD presented with numerous verrucous papules on both his hands and legs that had persisted for 3 years. He had been receiving intermittent systemic cyclosporine (150-200 mg daily) for over a year but was then switched to dupilumab. A skin biopsy from a verrucous plaque on the dorsum of the hand and leg confirmed the diagnosis of verruca vulgaris (Fig. 1). Thereafter, a single intralesional bleomycin injection was administered, but further treatments were discontinued due to pain. However, the wart lesions remained largely un- changed for 2 years following the bleomycin injection. After dupilumab therapy was initiated, his EASI score improved from 24 to 5.9 after 6 months. During dupilumab therapy, the patient developed alopecia areata, prompting a temporary reintroduction of cyclosporine, which was subsequently dis- continued 2 years and 6 months after initiating dupilumab. By the third month after its discontinuation, the longstanding warts began to decrease in thickness and eventually resolved completely following the cessation of systemic immuno- suppressive therapy (Fig. 2).
We believe that the resolution of the cutaneous warts in this case may have been attributed to dupilumab's immuno- modulatory effects. Dupilumab downregulates the Th2 axis, which is dominant in AD, and may promote a shift toward Th1-mediated antiviral responses. One ex vivo study demon- strated increased IFN-γ production in T-cells among AD patients treated with dupilumab2, particularly during the early phase of treatment. This shift may enhance antiviral immunity, thereby aiding in the resolution of warts following the cessa- tion of cyclosporine's immunosuppressive effect.
Previous reports have described the resolution of warts in pediatric AD patients treated with dupilumab3, as well as in isolated cases of molluscum contagiosum or condyloma acuminata resolving in adults4. However, the current case is among the first to demonstrate complete spontaneous resolution of diffuse warts in an adult AD patient receiving dupilumab monotherapy after the cessation of systemic immunosuppressants. This case highlights the benefits of dupilumab in the treatment of AD patients with cutaneous viral infections, particularly its potential to reduce aggressive destructive therapies for warts.
In conclusion, this case highlights the potential for spon- taneous resolution of cutaneous warts in adult AD patients treated with dupilumab. Our findings suggest that dupilu- mab may enhance antiviral immunity by upregulating Th1, particularly in the absence of concurrent immunosuppressive therapy. Further investigations are warranted to elucidate the underlying immunologic mechanisms and determine the therapeutic potential of dupilumab in patients with AD and concomitant viral infections.
References
1. Silverberg JI, Silverberg NB. Childhood atopic dermatitis and warts are associated with increased risk of infection: a US population-based study. J Allergy Clin Immunol 2014;133:1041-1047
Google Scholar
2. Bangert C, Alkon N, Chennareddy S, Arnoldner T, Levine JP, Pilz M, et al. Dupilumab-associated head and neck dermatitis shows a pronounced type 22 immune signature mediated by oligoclonally expanded T cells. Nat Commun 2024;15:2839
Google Scholar
3. Netravali IA, Sockler PG, Heimall J, Treat JR. Rapid re- solution of diffuse warts following initiation of dupilumab for severe atopic dermatitis. Pediatr Dermatol 2024;41: 275-278
Google Scholar
4. Yunoki M, Fukuchi K, Fujiyama T, Ito T, Honda T. Re- solution of molluscum contagiosum after discontinuation of topical corticosteroids during dupilumab therapy for atopic dermatitis: a case report. Cureus 2024;16:e67391
Google Scholar
Congratulatory MessageClick here!